ir al contenido

Un hombre con migraña descubrió que tenía lombrices en el cerebro: ¿Cuál es la causa?

La tomografía descubrió que el paciente padecía una extraña patología producida por consumir un alimento

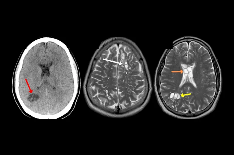
La tomografía practicada al paciente que reveló la causa de la migraña (Imagen: American Journal of Case Reports)

Un hombre de 52 años, residente en Estados Unidos, fue hospitalizado debido a un fuerte cuadro de migraña sin imaginar que luego de varios estudios los médicos descubrirían su dolor -casi insoportable- era increíblemente extraño: lombrices en el cerebro.

Según dio a conocer la American Journal of Case Reports, al paciente -cuya identidad y lugar exacto de residencia se mantuvieron en reserva- le diagnosticaron una patología conocida como cisticercosis cerebral.

Se trata de una rara enfermedad parasitaria que es causada por larvas de tenia parásita del cerdo, de acuerdo con lo que describen los Centros para el Control y la Prevención de Enfermedades (CDC), comúnmente adquiridos por el consumo de alimentos contaminados o por prácticas de higiene deficientes.

En este caso, los investigadores creen que el hombre se enfermó luego de comer tocino. “Los humanos se infectan cuando ingieren agua o alimentos contaminados con quistes de tenia”, sostiene el medio científico que dio a conocer el caso.

Esta condición puede desencadenar síntomas graves, incluyendo migrañas y convulsiones, y es potencialmente mortal, aclaran los CDC.

Algo más que migraña

De acuerdo con la American Journal of Case Reports, el paciente contaba con serios antecedentes de salud. Padecía de migraña, diabetes mellitus tipo 2 complicada con neuropatía periférica, hiperlipidemia y obesidad.

Sin embargo, acudió de forma ambulatoria tras un cambio en la intensidad y el tiempo de duración en sus dolores de cabeza habituales a lo largo de los últimos cuatro meses.

El hombre -sostiene la publicación- afirmó ante los médicos que sus migrañas ahora ocurrían casi semanalmente, eran severas, empeoraban en la parte posterior de la cabeza y ya no respondían a la terapia abortiva.

En ese sentido, “el paciente negó cualquier nuevo déficit neurológico focal, convulsiones, entumecimiento, debilidad, asimetría facial, disartria o disfagia”. Además, negó haber viajado recientemente a áreas de alto riesgo. De hecho, su único antecedente de viaje notable un crucero a las Bahamas dos años antes.

Negó tener inseguridad alimentaria y que vivía en casa con su esposa y su gato, en una casa moderna.

“Tras un interrogatorio más detallado, el paciente dijo que no comió comida cruda o callejera, pero admitió tener el hábito de comer tocino ligeramente cocido y no crujiente durante la mayor parte de su vida”, dice la revista.

La causa de la migraña y el tratamiento

Una tomografía computarizada reveló numerosos focos quísticos, o sea, sacos llenos de líquido en el cerebro. Las pruebas de anticuerpos dieron positivo a quistes de cisticercosis.

El tratamiento en este caso incluyó antiparasitarios y antiinflamatorios, lo que llevó a la desaparición de las lesiones cerebrales y a una mejora significativa de las migrañas del paciente.

Infome-de-American-Journal-of-Case-ReportsDescarga

El estudio subrayó que los casos de cisticercosis cerebral en territorio estadounidense son pocos frecuentes y sugirió una revisión de las prácticas de salud pública relacionadas con la producción y el consumo de carne de cerdo.

“Sólo podemos especular, pero dada la predilección de nuestro paciente por la carne de cerdo poco cocinada y los antecedentes de exposición benigna, creemos que su cisticercosis pudo ser autoinfectada, tras un lavado de manos inadecuado y sus hábitos alimentarios”

Informe de la American Journal of Case Reports

Tres lecciones del caso

  • En primer lugar, la cisticercosis es una infección parasitaria del cerebro, que se adquiere más comúnmente a través de viajes a países en desarrollo en los que la cisticercosis y la teniasis son endémicas. “Nuestro caso puede tener implicaciones para la salud pública”, dice el informe.
  • La enfermedad tiene manifestaciones diversas, dependiendo del nivel de penetración de la enfermedad en el parénquima cerebral, lo que puede complicar el diagnóstico. No se debe subestimar la gran variabilidad de síntomas que puede presentar la cisticercosis, y aunque es una de las principales causas de epilepsia en todo el mundo, puede presentarse con más sutileza.
  • En tercer lugar, “es importante mantener esta patología y enfermedades del sistema nervioso central en el diagnóstico, al evaluar los cambios agudos en las migrañas, incluso cuando no existen factores de riesgo clásicos”.

Te puede interesar:

Dr. Dre revela su lucha silenciosa contra los derrames cerebrovasculares

Últimas Noticias

{{!-- ADHESION AD CONTAINER --}}
{{!-- VIDEO SLIDER AD CONTAINER --}}